IL VIDEO CHOC: COME IL VIRUS AGGREDISCE I POLMONI

| DI Redazione Online

IL VIDEO CHOC: COME IL VIRUS AGGREDISCE I POLMONI
Un’invasione lenta e, purtroppo, talvolta inesorabile. Ecco come il coronavirus (SARS-CoV-2 o Covid-19) aggredisce i nostri polmoni e, in alcuni casi, i vasi polmonari. Lo si evince da alcune lastre che il direttore di Pneumologia dell’ospedale di Piacenza, Cosimo Franco, ha mostrato a “Libertà” per capire cosa accade durante la malattia.
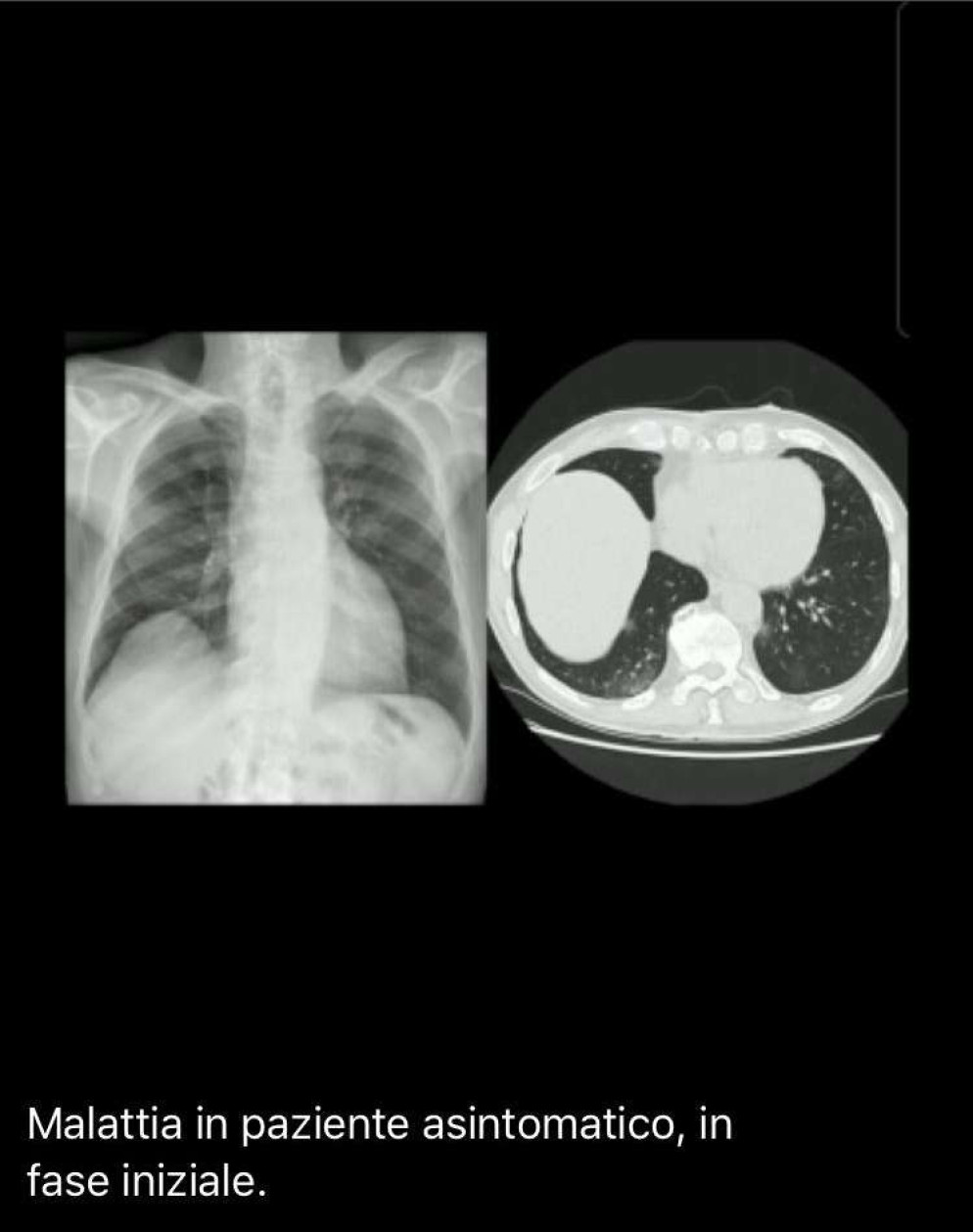
La foto doppia “malattia in paziente asintomatico, in fase iniziale” mostra l’andamento dell’infezione in un paziente asintomatico, dunque nella fase iniziale. Il virus è rappresentato dalla massa di colore più biancastro che si osserva nella parte inferiore dei lobi dei polmoni. A fianco l’andamento della malattia nei polmoni nello stesso istante, ma vista dall’alto.
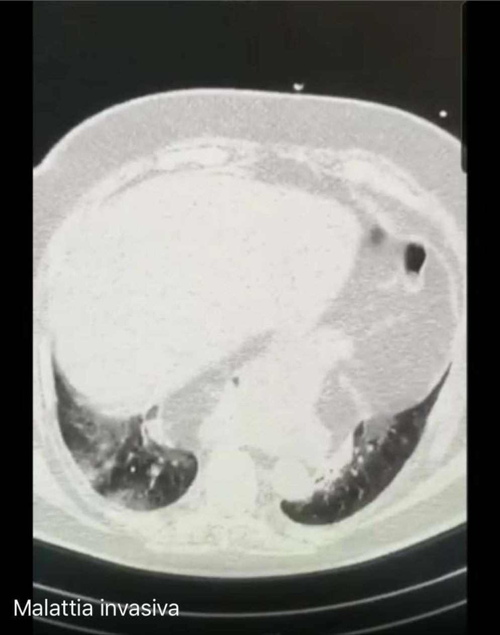
Nella foto “malattia invasiva”, invece, è l’andamento della malattia più invasiva. Le parti più chiare sono quelle relative al coronavirus che, avanzando, occupa sempre più spazio all’interno dei polmoni. In questo caso la polmonite si trova già in stato avanzato provocando l’insufficienza respiratoria. I medici hanno riscontrato che il Covid può occupare anche i vasi polmonari.

Tutti i diritti riservati